COSA FACCIAMO
Chirurgia Orale
– Estrazioni dentarie semplici e complesse.
visualizza esempio di caso cllinico
L’esame clinico, coadiuvato da quello radiografico, mostra la presenza di una frattura a carico della radice del premolare superiore (ricoperto da una corona protesica). Viene quindi decisa l’estrazione di tale elemento.
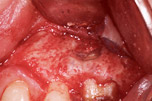
Estrazione atraumatica dell’elemento dentario compromesso.
Dopo accurata pulizia dell’alveolo, inserimento di una spugna di collagene che favorisce ed accelera la guarigione. Sutura.
– Chirurgia estrattiva: L’estrazione dei denti e/o radici in inclusione osteomucosa parziale o totale rappresenta probabilmente l’espressione più alta delle difficoltà che un’estrazione può implicare.
In alcuni casi, per mancanza di spazio sufficiente nell'arcata dentaria, alcuni denti (soprattutto i denti del giudizio) rimangono parzialmente o completamente sommersi nell'osso o nella gengiva, crescendo a volte in direzione scorretta. Se questo accade sono inutili alla masticazione e possono anzi causare i seguenti problemi:
In presenza di tali disturbi, o per prevenirne la loro comparsa potrebbe rendersi necessario procedere all'estrazione.

Accesso all’apice della radice alla quale va effettuata l’apicectomia.
Rimozione dell’apice e sigillo del canale radicolare.
Sutura. La lesione ossea guarirà nel giro di qualche mese.
Situazione iniziale: evidente atrofia della mandibola posteriore sinistra che preclude la possibilità di inserire impianti osteointegrati.
Fase intraoperatoria del rialzo di cresta con tecnica inlay: creazione di un cassetto osseo.
Rialzo del cassetto osseo mediante un innesto di biomateriale a base di idrossiapatite e bloccaggio dello stesso; copertura mediante membrana riassorbibile.
Dopo 6 mesi c’è stata neoformazione di nuovo osso che ha permesso l’inserimento di impianti osteointegrati.
Impianti osteointegrati.

Retrazione del margine gengivale che ha scoperto parte delle radici dei due incisivi superiori di destra causando problematiche estetiche e funzionali.
Posizionamento di un innesto di tessuto connettivo prelevato dal palato.
Sutura finale.
Guarigione con totale ricopertura delle radici e ristabilimento dell’estetica.
Asportazione di un piccolo lipoma dal versante interno del labbro inferiore.
Punto di sutura riassorbibile.
Lipoma asportato (prima di essere inviato al laboratorio istologico per conferma istologica).
Alcuni articoli di approfondimento: