COSA FACCIAMO



Igiene e profilassi orale professionale

L’igiene orale professionale è intesa come un insieme di manovre effettuate dal dentista e/o dall’igienista dentale con l’obbiettivo di rimuovere ed eliminare tutti i residui accumulatisi su denti e gengive, comprese quelle zone dove è più difficile la pulizia domiciliare e dove c’è un maggior ristagno di cibo ed un minor passaggio di saliva.
E’ costituita da:

  • Evidenziazione della placca mediante liquido rilevatore della stessa (verrà consegnato al paziente un liquido che colora i batteri e che permetterà al paziente di essere sicuro al 100% di aver rimosso tutta la placca batterica).
  • Istruzioni di igiene orale domiciliare (il paziente verrà istruito sulle manovre e sugli strumenti più idonei per mantenere un buon controllo della placca).
  • Eliminazione della placca batterica
  • Rimozione del tartaro
  • Lucidatura dei denti con posizionamento sugli stessi di una mousse protettiva e rimineralizzante
visualizza esempio di caso cllinico
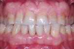
igiene fase1

Situazione iniziale: i denti sembrano puliti e non vi sono evidenti accumuli di placca.

igiene fase2

Dopo aver bagnato i denti con una soluzione rilevatrice di placca si possono invece notare tutte le zone che necessitano di pulizia.



‹ indietro